JBO認定歯科矯正専門医がお答えします
Q:矯正治療中の虫歯
矯正治療中は歯に装置がついたままになるので、虫歯になりやすいと聞きました。
虫歯にならないためにはどうしたらいいでしょうか?
A:ブラッシング(歯磨き)をしっかりと行ってください。
矯正装置を付けていると、どうしても装置の周りに汚れがたまりやすくなります。汚れたままにしておくと虫歯になるだけではなく、歯周病などのリスクも高まります。食事のたびにいつも以上に丁寧に歯磨きをするように心がけてください。
矯正治療中のメインテナンス
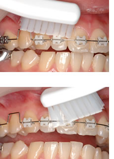
通常の歯ブラシを使う場合
虫歯の予防は、お口の中を清潔に保つことが一番です。食事のあとは必ず歯磨きをするように習慣づけてください。お出かけの際にも歯ブラシを携帯するようにしましょう。
矯正治療を始めたおかげでこまめに歯磨きをする習慣が身につき、治療前より虫歯になりにくくなったという患者さんもいらっしゃいます。
ブラケット(歯に装着した装置)の周りに汚れがたまりやすくなります。ブラケットの周りとワイヤーの下、またブラケットと歯茎の間を丁寧に磨いてください。
歯磨きペーストをつけると汚れが見えにくくなりますので、最初は何もつけずにブラシだけでしっかりと汚れを落としましょう。鏡を見ながら汚れ具合を確認し、汚れがたまりやすい場所を知ると良いでしょう。
染め出し剤を使って磨き残しをチェックするのも効果的です。
・歯ブラシはヘッドが小さいものの方が磨きやすいです。
・歯の一本一本を丁寧に磨きましょう。
・鉛筆を握るようにして歯ブラシを持ち、力を入れすぎないようにしましょう。
・大きくゴシゴシ磨くより、細かく動かした方が汚れが落ちやすいです。
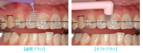
特殊なブラシを使う場合
歯間ブラシやタフトブラシ(先が細くなった円柱状の歯ブラシ)を使うと、通常の歯ブラシでは磨きにくい部分をきれいに磨くことができます。
最初は通常の歯ブラシで全体的に磨き、仕上げ磨きに歯間ブラシやタフトブラシを使用すると良いでしょう。
歯磨き後のケア
虫歯の予防には、フッ素(フッ化物)が効果的と言われています。日本で市販されている歯磨きペーストのほとんどにはフッ素が含まれていますので一般的な歯磨きペーストでも十分ですが、汚れを落とした後にフッ素ペーストを使って歯磨きをするとより効果的です。
歯磨きの方法や虫歯の効果的な予防については、治療を受ける矯正歯科医院でご相談ください。正しいブラッシングの方法などを教えてもらえると思います。

