治療症例:JBO認定専門医が治療をおこなった症例をご紹介します。
子供の矯正 上突咬合(いわゆる上顎前突・出っ歯)Case2
1期治療と2期治療両方行った症例


■症状
- 患者さん
- 7歳9ヶ月
- 主訴
- 上の前歯が突出していて唇が閉じない。
- 診断
- 上突咬合(いわゆる上顎前突・出っ歯)、両突歯列(いわゆる上下顎前突・上下の歯が前突し唇が閉じない。口元が突出している。)指しゃぶりの既往がある。
■1期治療期間
12ヶ月
治療について
1期治療だけでは上下の歯を十分に後退することができないため、永久歯が生えそろってから第一小臼歯を抜歯して治療を行う必要があることが予測されました。しかしながら、指しゃぶりで過度に上顎前歯が前方に引き出されているため、上の前歯に何かぶつかって折れたり抜けたるする外傷の予防と少しでも唇を閉じやすくし、口唇が機能しやすいようにするため、上顎にセクショナルアーチを装着し、就寝時にヘッドギアを用いて1期治療を開始しました。
■治療開始
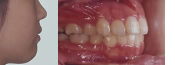
治療開始時は、7歳9ヶ月です。指しゃぶりの癖があり、前歯が前方に大きく傾いて上顎前突(出っ歯)になってしまったケースです。
■1期治療終了時(8歳11ヶ月)
1期治療が終わりました。前歯のかみ合わせは適正になりました。唇は少し閉じやすくなりましたがまだ上下口唇は突出しています。
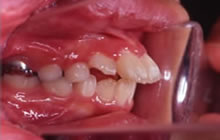
■2期治療開始時(11歳9ヶ月)
乳歯から永久歯に生えかわりました。歯ならび咬み合わせは少し出っ歯が戻っていますが、大きく乱れてはいません。しかしながら口元は大きく突出し已然として口唇閉鎖は困難な状況です。そこで当初の予定通り上下顎の第一小臼歯〔4番目の歯4本〕を抜歯して永久歯の治療をスタートしました。
■矯正治療終了時(13歳11ヶ月)
治療後の口元です、口唇閉鎖がスムースにでき、口唇に突出感がなくなっています。口腔内はきちんと上下の歯が山と谷で咬んでいます。
治療期間は24ヶ月でした。この後2年間の保定を行い治療を終了しました。
