治療症例:JBO認定専門医が治療をおこなった症例をご紹介します。
外科的矯正 開咬合(オープンバイト)
あごの手術を併用した矯正(外科的矯正)の治療症例


■症状
- 患者さん
- 16歳1ヶ月 女性
- 主訴
- 下顎の突出感と咬み合わせの改善を希望され来院
- 所見
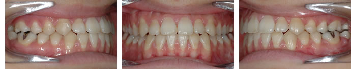
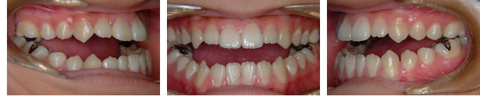
- 両側大臼歯関係はアングル3級(下顎前突)(※1)、オーバージェット(※2)1.5mm、オーバーバイト(※3)−7mm
- 診断
- 開咬合 (上顎前歯の唇側への傾斜、下顎前歯の舌側への傾斜を伴う)
■治療内容
1:あごの手術の前に、術前矯正を行う。
マルチブラケット装置を使用し、上下前歯の傾斜・歯列幅等を改善。(小臼歯は非抜歯)
2:顎離断手術をおこなう。(口腔外科、形成外科にて)
3:術後矯正により、咬み合わせの細かな調整を行う。
※1 アングル3級
上下の顎の咬みあわせを、第一大臼歯(6番の奥歯)の位置関係で表した分類をアングルの不正咬合分類と言います。
1級、2級、3級があり、1級は第一大臼歯が正常に咬み合っている状態、2級は上の第一大臼歯が下の第一大臼歯よりも前方にある状態(上顎前突・出っ歯)、3級は下の第一大臼歯が上の第一大臼歯よりも前方にある(下顎前突・受け口)症例となります。第一大臼歯の位置関係を示すものであるため、正常に咬み合っている1級であっても、前歯が叢生などの不正咬合になっている場合があります。
※2 オーバージェット
咬み合わせた際の、上の前歯と下の前歯の距離のこと。
上の前歯がわずかに前方に出ているのが正常な状態ですが、上の前歯の突出が過度になると上突咬合(いわゆる上顎前突・出っ歯)となります。マイナスの状態(上の前歯より下の前歯の方が前に出ている状態)を下突咬合(いわゆる下顎前突・反対咬合・受け口)といいます。
※3 オーバーバイト
咬みあわせた際の、上の前歯が下の前歯に被さる上下の距離のこと。
0.5㎜~4.5㎜程度被さっている状態が正常で、深いものを過蓋咬合、切縁の接するものを切端咬合、上下の被覆のないもの(マイナス値)を開咬合といいます。
治療について
奥歯の咬み合わせがアングル3級(下の奥歯が前方にずれている状態/反対咬合・受け口)で、上下ともに顎離断手術を行う必要がありました。
上顎はLe Fort1型骨切り術で上顎全体を前方へ移動させ、下顎は下顎枝矢状分割法によって下顎骨体(下から見るとU字型になっている部分)をずらすことで、上下の奥歯がきちんと咬むようになりました。
■治療前
■治療後
