トップページ
サイトマップ
都道府県を選択
矯正歯科の専門医について
矯正歯科の専門医を探す
失敗しない矯正治療
ドクターに訊くQ&A
矯正歯科 治療例・症例
JSOについて
トップページ
>
治療症例
治療症例:JBO認定専門医が治療をおこなった症例をご紹介します。
すべての症例
子供の矯正
大人の矯正
顎の手術をした矯正
上突咬合(いわゆる上顎前突・出っ歯)
「出っ歯」と言われる症例で、上の前歯が前に出ている歯並びのことです。
治療医院:星歯科矯正
治療医院:星歯科矯正
治療医院:せき矯正歯科医院
治療医院:池矯正歯科医院
治療医院:せき矯正歯科医院
下突咬合(いわゆる下顎前突・反対咬合・受け口)
「受け口」「反対咬合」と言われる症例で、下顎が上顎よりも前に出ている咬み合せのことです。
治療医院:星歯科矯正
治療医院:かない矯正歯科医院
治療医院:かない矯正歯科医院
治療医院:ふかまち歯科矯正
両突歯列(両顎の出っ歯)
いわゆる「出っ歯」と言われる症例のうち、上と下の両方の前歯が前に出ている歯並びのことです。
治療医院:よごさわ歯科矯正
治療医院:アイウエオ矯正歯科医院
治療医院:はまさき矯正歯科医院
叢生(でこぼこの歯・八重歯・乱ぐい歯)
歯がねじれたり重なり合ってでこぼこになっている歯並びのことです。乱杭歯と呼ばれることもあります。
治療医院:星歯科矯正
治療医院:星歯科矯正
治療医院:ありまつ矯正歯科医院
治療医院:はまさき矯正歯科医院
開咬合(オープンバイト)
上下の歯が噛み合わず開いたままになっている咬み合わせのことで、開咬ともいわれます。
治療医院:星歯科矯正
治療医院:星歯科矯正
治療医院:歯ならび矯正歯科医院
偏位(咬み合せのずれ)
上の歯と下の歯が左右方向にずれていて、正中(歯並びの真ん中)が合っていない症状のことです。
治療医院:さわはた矯正歯科医院
治療医院:アイウエオ矯正歯科医院
治療医院:せき矯正歯科医院
過蓋咬合(いわゆる垂直的に前歯部が深い咬み合わせ)
前歯が深く噛んでいて、上の歯が下の歯を覆うようになっている状態です。
治療医院:ゆうだ矯正歯科医院
【治療症例】矯正治療の専門医が実際に治療した症例のご紹介。
子供の矯正
上突咬合(いわゆる上顎前突・出っ歯)Case1
上突咬合(いわゆる上顎前突・出っ歯)Case2
下突咬合(いわゆる下顎前突・反対咬合・受け口)
叢生歯列弓 (でこぼこの歯・八重歯・乱ぐい歯)Case1
叢生歯列弓 (でこぼこの歯・八重歯・乱ぐい歯)Case2
叢生歯列弓 (でこぼこの歯・八重歯・乱ぐい歯)Case3
開咬合(オープンバイト)
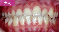
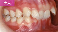
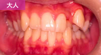
大人の矯正
上突咬合(いわゆる上顎前突・出っ歯)Case1
上突咬合(いわゆる上顎前突・出っ歯)Case2
下突咬合(いわゆる下顎前突・反対咬合・受け口)Case1
下突咬合(いわゆる下顎前突・反対咬合・受け口)Case2
両突歯列(上下顎前突・両顎の出っ歯)Case1
両突歯列(上下顎前突・両顎の出っ歯)Case2
両突歯列(上下顎前突・両顎の出っ歯)Case3
叢生歯列弓(でこぼこの歯・八重歯・乱ぐい歯)Case1
開咬合(オープンバイト)
偏位咬合(あごのずれ、曲がり)Case1
偏位咬合(あごのずれ)Case2
偏位咬合(咬み合わせのずれ)Case3
過蓋咬合(いわゆる垂直的に前歯部が深い咬み合わせ) Case1
顎の手術をした矯正
上突咬合(いわゆる上顎前突・出っ歯)
下突咬合(いわゆる下顎前突・反対咬合・受け口)
開咬合(オープンバイト)