治療症例:JBO認定専門医が治療をおこなった症例をご紹介します。
大人の矯正 両突歯列(上下顎前突・両顎の出っ歯)Case2
突出した口元をきれいに改善した治療症例


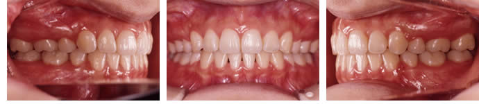
■症状
- 患者さん
- 21歳 女性
- 主訴
- 前歯が出ていることと、歯のでこぼこの改善を希望され来院
- 所見
- 口元が突出し、唇を閉じたときにオトガイ部軟組織に緊張感(下顎に梅干しの種状のシワ)が認められました。下顎がわずかに右方偏位しています。臼歯犬歯関係はほぼアングル1級(大臼歯は正常に噛み合っている状態)(※1)ですが、上顎前歯が突出し、上下顎に叢生がありました。
- 診断
- 上下顎前突症例 (上突咬合 下後退顎 両突歯列 叢生歯列弓)
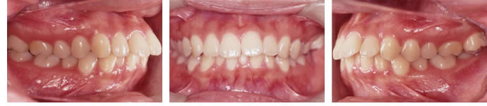
■治療期間
2年5ヶ月
■治療内容
上突咬合と叢生、横顔の改善を目的に、上下顎の左右第一小臼歯と左側第三大臼歯(親知らず)を抜歯し、マルチブラケット装置とヘッドギア、顎間ゴムを用いて治療をおこないました。
患者さんがヘッドギアと顎間ゴム装着に協力的だったこともあり、きれいな口元になりました。
※1 アングル1級
上下の顎の咬みあわせを、第一大臼歯(6番の奥歯)の位置関係で表した分類をアングルの不正咬合分類と言います。
1級、2級、3級があり、1級は第一大臼歯が正常に咬み合っている状態、2級は上の第一大臼歯が下の第一大臼歯よりも前方にある状態(上顎前突・出っ歯)、3級は下の第一大臼歯が上の第一大臼歯よりも前方にある(下顎前突・受け口)症例となります。第一大臼歯の位置関係を示すものであるため、正常に咬み合っている1級であっても、前歯が叢生などの不正咬合になっている場合があります。
治療について
■治療前
上顎も下顎も前突し、いわゆる「出っ歯」が強い症状でした。叢生と偏位(上下のずれ)もありました。
■装置装着直後
上下左右の第一小臼歯と、親知らずを1本抜歯しました。
上下の顎にLLブラケットを装着し、まずでこぼこやねじれをとってゆきます。
■7ヵ月後
ヘッドギアとゴムを併用することで、咬み合せが改善されてきています。
■2年後
抜歯したすき間が閉じ、前歯の突出もなくなっています。仕上げの針金がはいりました。
■治療後
2年5ヵ月で装置が外れアングル1 級で緊密なかみ合わせとなりました。前歯の突出感はなくなり、歯並びもきれいに揃っています。
