治療症例:JBO認定専門医が治療をおこなった症例をご紹介します。
大人の矯正 両突歯列(上下顎前突・両顎の出っ歯)Case1
突出した口元をきれいに改善した治療症例


■症状
- 患者さん
- 20代 女性
- 主訴
- 前歯の反対と八重歯を治してほしい。
- 所見
- 少し前歯が前方に出ており、それに伴って口元の突出感がある。下あごの歯列にデコボコも見られる。
- 診断
- 両突歯列
■治療内容
上下左右の第一小臼歯(4番)の4本を抜歯して、下あごのデコボコと前歯の突出を改善。
治療について
■治療前
相談に見えられた患者さんは、一見矯正治療が必要ないと思えるほど美しい20代の女性です。ですが、少し前歯が前方に出ており、口元に突出感があることを気にされていました。
■治療方針の決定
さて検査をして患者さんと相談です。頭部X線規格写真(セファログラム)をお見せしながら、小臼歯を抜歯して治療した場合の口唇の変化を予測してお話しします。
白の線が今の歯と唇です。歯を抜いて治療すると赤の直線の位置まで前歯が下がります。すると赤い線のように唇の形が変化します。より美しくなる方向です。
近年はコンピュータなどで口唇の形を予測するソフトがありますがそれらは平均値を使っているため、精度がよくありません。唇の形や閉じ方は人により千差万別です。経験のある歯科矯正専門医は個人にあわせて的確に治療後の予測をする事ができます。
患者さんと相談の結果、下あごのデコボコを改善するためとちょっと出た前歯を後ろにさげるために第一小臼歯を4本抜歯して矯正治療を行いました。
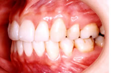
■治療後
治療後のお口の中です。あたりまえのことですが上下の歯がきちんと咬んでいます。歯は、上下の歯が互い違いにきちんと咬むようにできています。
治療前と治療後の横顔を見比べてください。上下口唇が後ろに下がりさらに美しくなっています。さらに顎の形がシャープになり口角もきりりと上がっています。
スマイルです。元々美しい方でしたが、矯正治療によってもっと美しくなりました。口元上下口唇の間からのぞく、バランスのとれた上顎前歯が美しさを際立たせています。
