治療症例:JBO認定専門医が治療をおこなった症例をご紹介します。
外科的矯正 下突咬合(いわゆる下顎前突・反対咬合・受け口)
あごの手術を併用した矯正(外科的矯正)の治療症例


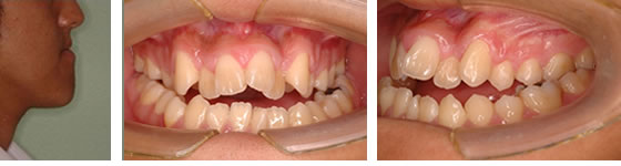
■症状
- 所見
- 下の歯列が上の歯列に対し前方に位置し、多くの上下の歯が咬み合っていません。 また、横顔では下あごが前方に出ており、前方にも下方にも長い印象を受けます。
- 診断
- 骨格性下突咬合(下顎前突)
■治療内容
検査の結果、骨格性の要素を強く持つ反対咬合であると判断されたため、外科手術を併用する矯正治療を行いました。
治療について
下突咬合(反対咬合・受け口)には歯が傾斜して起こる歯性のものと、上下のあごの成長の差によって起こる骨格性のものがありますが、骨格性の下突咬合は歯の移動だけでは改善することができないため、あご切りの外科手術を併用して行います(外科的矯正)。こちらの患者さんも骨格性のものだったため、外科的矯正治療となりました。
■治療前
下あごが上あごに対してかなり前に出ています。上下の歯はほとんど咬みあっていません。

■外科的矯正治療
外科的矯正治療は、矯正治療に手術を併用する方法です。顎の大きさや、位置の不調和はその上に並ぶ歯や歯並び・かみ合わせの不調和の原因となります。顎の大きさや位置の改善は、矯正治療でできることに限度があり、従って、不調和の度合いにより抜歯や外科的手法を併用することになります。
通常、手術の前に「術前矯正治療」を1〜2年程行ない手術の準備を行います。入院・手術は2〜3週間程が一般的です。退院後、「術後矯正治療」によりかみ合わせの仕上げを行います(6ヶ月〜1年)。
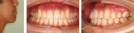
■治療後
すべての歯がきちんと咬み合うようになりました。また、下あごが下がり、整った口元になりました。下あごが前方に長く伸びているような印象だった横顔が、すっきりときれいになりました。


