治療症例:JBO認定専門医が治療をおこなった症例をご紹介します。
子供の矯正 叢生歯列弓 (でこぼこの歯・八重歯・乱ぐい歯)Case1
永久歯が生え揃う前の叢生 治療症例


■症状
- 所見
- むし歯で乳歯が早く抜けてしまったため、永久歯が前に生えてきて、犬歯の生える場所がない。
- 診断
- 叢生症例
■治療内容
永久歯が生え揃う前に、奥歯を後ろに戻す治療をしました。
治療について
叢生(でこぼこの歯・八重歯)は、一般的には永久歯が生えそろってから治療を検討されても問題ありません。
しかし、こちらの患者さんのように奥歯(永久歯)が通常より手前に生えてしまったようなケースでは、生え変わりの時期に奥歯を本来の位置に戻す治療が必要です。
早期に治療をするべきかどうかは、奥歯が正しい位置より前に生えているかどうかの見極めが大切です。
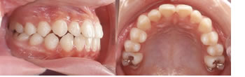
■治療前
乳臼歯が早く抜けて、奥歯が通常より手前に生えてしまいました。犬歯が生えるスペースが充分に取れていません。このままでは永久歯が生えそろうとでこぼこの歯の歯並びになってしまいますので、犬歯が生える前に奥歯を後ろに下げる治療を行いました。
■治療中
奥歯がかなり後ろに下がり、犬歯が生えるためのスペースが確保できました。
■治療後
犬歯がきちんと生えて、きれいな永久歯の歯並びができあがりました。
この方は遺伝的には綺麗な歯ならびになる方でした。しかし、むし歯が原因でデコボコになるまえに治療をしたことでデコボコになることを避けることができました。
遺伝的に歯が大きく顎の大きさとバランスがとれずデコボコな歯ならびになっている人は、抜歯もしくは歯列の拡大をしないとデコボコを改善する事はできません。西洋人では鼻が高く、オトガイが発達しているため、歯列を拡大して口唇が突出してもお顔の美しさはそこなわれません。しかしながら日本人では口元が突出して、美しくなくなる場合が多いです。さらには口唇が閉じにくくなるなど、機能に問題が出る場合もあります。拡大する際は十分に相談されてからの方がよいと思います。
