治療症例:JBO認定専門医が治療をおこなった症例をご紹介します。
大人の矯正 偏位咬合(あごのずれ、曲がり)
矯正治療のみで治した偏位咬合の治療症例


■症状
- 患者さん
- 21歳0ヶ月 女性
- 主訴
- 下突咬合(下顎前突・反対咬合・受け口)とあごの曲がり。
- 所見
- 正中のずれは1mm、上は右側4番目の歯から左側の2番目の歯まで、下は右側5番目の歯から左側3番目の歯まで被蓋が逆になっていていわゆる反対咬合を呈しています。
- 診断
- 偏位咬合(あごのずれ、曲がり)
■治療期間
2年10ヶ月
■治療内容
上顎は左右5番目の歯、下顎は左右4番目の歯を抜歯しエッジワイズ装置を用いて歯並びとかみ合せを改善しました。
治療について
こちらの患者さんは、下の前歯が上の前歯よりも前方に出ている下突咬合(下顎前突・反対咬合・受け口)と、あごが曲がっていることを気にされて相談にみえられました。事前にいくつかの矯正歯科で外科的矯正治療(顎切りをともなう矯正治療)をすすめられたのですが、手術は行わず矯正治療のみで治して欲しいという希望がありました。
検査の結果、上の左右5番(第二小臼歯)、下の左右4番(第一小臼歯)を抜歯し、スタンダードエッジワイズ装置を用いて歯並びと咬み合わせの改善を行いました。
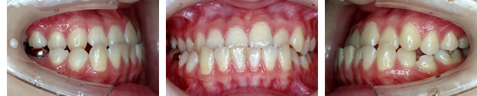
■治療前
正中(上下の前歯の真ん中)が1mmずれていました。
反対咬合は、上が右側4番(第一小臼歯)から左の2番(側切歯)、下は右5番(第二小臼歯)から左側3番(犬歯)までです。
■治療中
抜歯をして、スタンダードエッジワイズ装置で治療を開始しました。
24ヶ月後には歯並びがほぼ完成し、咬み合わせも整って来ました。
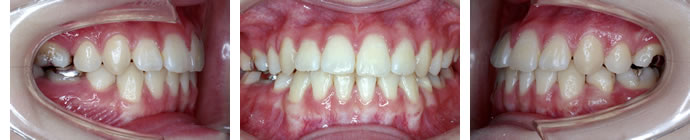
■治療後
治療期間は2年10ヶ月。良好な歯並びと咬み合わせになりました。患者さんが希望された通り矯正治療だけでお顔のゆがみが治り、下唇の突出も改善されました。
■スマイルトレーニングで、もっと美しい笑顔を
スマイルトレーニングとは、美しい笑顔を作るために口角をバランス良く上げるくせをつけるトレーニングのことです。当院では、治療を終えられた患者さんにスマイルトレーニングの指導も行っています。
口元にコンプレックスを抱えて矯正治療を始められた方は、笑顔を作るのが苦手な方が多いようです。口元を手で覆ったり、できるだけ歯が見えないように気を付けるクセがついてしまっているからです。こちらの患者さんも、せっかくきれいな口元になったのになかなかうまく笑顔を作ることができませんでした。
左から術前、矯正治療後、治療後4週間のスマイル写真です。術前では口元にコンプレックスがあるので笑おうとしません。矯正治療後、口元に関するコンプレックスはなくなったのですが、もともと笑顔の作り方がわからないためこのようなぎこちないスマイルになっています。術後にスマイルトレーニングを行い口角を引き上げる意識を持ってもらったところ4週間後には素敵なスマイルになりました。
きれいな笑顔は、自分自身の気持ちも明るくします。矯正治療で美しい口元を手に入れた方は、ぜひ美しい笑顔も手に入れて幸せになってください。
