治療症例:JBO認定専門医が治療をおこなった症例をご紹介します。
大人の矯正 両突歯列(上下顎前突・両顎の出っ歯)Case3
叢生、偏位咬合をともなう両突歯列の治療症例










■症状
- 患者さん
- 28歳7ヶ月 女性
- 主訴
- 前歯のガタガタと反対を治したい。
- 所見
- 上下の前歯が前傾しており、それに伴って口元が突出している。
- 上下顎の歯列にガタガタがあり、上下の歯が反対に咬んでいる所がある。
- 上下顎の歯列の真ん中が合っていない。
■治療期間
1年9ヶ月
■治療内容
上顎左右5番、下顎右4番目、左5番目を抜歯し、エッジワイズ装置を用いて歯並びと咬み合わせ、およびそれに伴う口唇(口元)の改善を行いました。
治療について
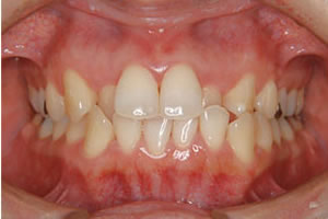
■治療前
こちらの患者さんは、前歯のガタガタを気にされて相談に見えられました。上の歯が奥に入り込んで、上下の歯が反対に咬み合っているのも治したいということでした。
お口を拝見すると、患者さんが気にされている歯のガタガタだけではなく、上下ともに、前歯の前傾による口元の突出が認められました。顎の歪みもあり、上下の歯列の真ん中(正中)が合っていません。
上下の歯をきちんと並べて咬ませるために、上顎は虫歯の治療をしている左右5番目の歯を、下顎は左右のズレがあるので、右は4番目、左は5番目の歯を抜歯して矯正治療を開始しました。
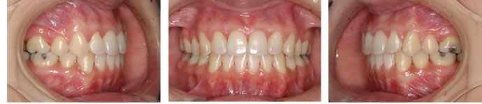
■装置装着直後
患者さんの希望で、目立たない審美ブラケットを装着して治療を開始しました。
ワイヤーを通し、歯の傾きやガタガタを取って行きます。
■18ヶ月後
歯がほぼきれいに並びましたので、顎間ゴムで上下の顎のズレや咬み合わせをきちんと整えて行きます。
顎間ゴムは患者さんご自身で付け外ししていただくものですが、こちらの患者さんは顎間ゴム等の協力が良く、1年9ヶ月という比較的短い治療期間で終了しました。
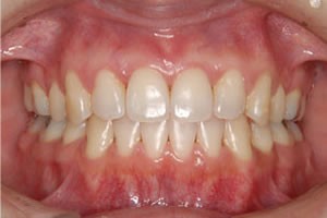
■治療後
ガタガタ、反対咬合、突出、真ん中のズレが改善され、きちんと咬んだきれいな歯並びになりました。
口元も改善され、調和が取れた自然な笑顔を作れるようになりました。
