治療症例:JBO認定専門医が治療をおこなった症例をご紹介します。
大人の矯正 下突咬合(いわゆる下顎前突・反対咬合・受け口) Case2
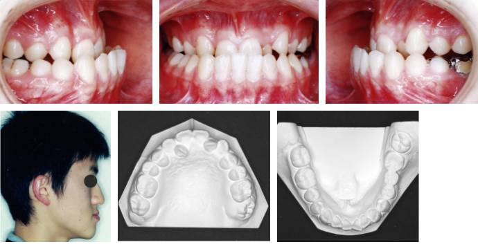
下顎がでた感じの口元で、前歯から奥歯にかけてかみ合わせが反対の症例


■症状
- 患者さん
- 19歳9か月 男性
- 主訴
- 歯並びが悪い 受け口
- 所見
- 下顎がでた感じの口元で、前歯から奥歯にかけてかみ合わせが反対です。
上の歯のデコボコがひどく前歯2本が中に入った状態です。 - 診断
- 下突咬合(いわゆる下顎前突・反対咬合・受け口)
■治療期間
スタンダードエッジワイズ装置による治療を2年3か月間行いました。
その後、後戻りを防ぐために保定装置を2年2か月間使用しました。
保定装置は、上顎には取り外しのできるタイプの装置を用い、下顎には前歯を裏側からワイヤーで固定するタイプの装置を使用しました。
■治療内容
上下左右、合計4本の小臼歯を抜歯して、スタンダードエッジワイズ装置による治療を行いました。
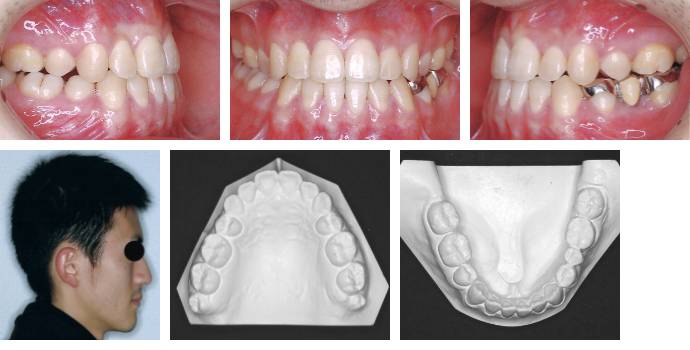
治療について
■治療前
口元は下顎が出て見えます。前歯から奥歯にかけてかみ合わせが反対でした。
上の歯のデコボコがひどく、前歯2本が中に入った状態でした。
■矯正装置装着時
一般歯科医医院で上下左右の小臼歯を抜歯して頂いた後に、スタンダードエッジワイズ装置を装着した状態。
■矯正治療終了後 6年4ヶ月の状態
矯正治療によって全体のかみ合わせを調整したことで、自然な口元へと変化しました。
矯正治療後、6年4ヶ月を経過しましたが、かみ合わせも歯並びも安定していました。
