治療症例:JBO認定専門医が治療をおこなった症例をご紹介します。
子供の矯正 叢生歯列弓 (でこぼこの歯・八重歯・乱ぐい歯)Case2
1期治療と2期治療両方行った症例


■症状
- 患者さん
- 7歳
- 主訴
- デコボコ、前歯の隙間
- 診断
- 叢生歯列弓、開咬合(前歯の隙間)、下顎の位置が後ろにあり、ズレが認められる。
■治療期間
1期治療期間:7ヵ月
2期治療期間:22ヵ月
治療について
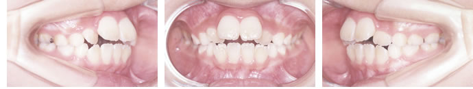
■初診時(7歳)
こちらの患者さんは、初診時のレントゲン等の検査から
1:上顎と下顎にズレがある(下顎が後ろにある)。
2:上顎において、永久歯が生える隙間が足りない。
ということが分かりました。
現時点で、上顎左右中切歯(真ん中の前歯)がとびだした形で、下の前歯より高い位置にあることから、前歯同士で隙間があいています。この部分に舌が入ることで、この開咬合という状態は、更に悪化する可能性があることから、一回目の治療として、前歯でものがかめるように改善を行いました。また、上下顎のズレに関しては、ヘッドギアという装置を用いて、1期治療中に改善を試みることにしました。
■1期治療の開始(7歳)
とびだした上の前歯をひっこめるために、上顎の乳犬歯を抜歯して、その隙間をつくり、上下の前歯をゴムで近づけています。
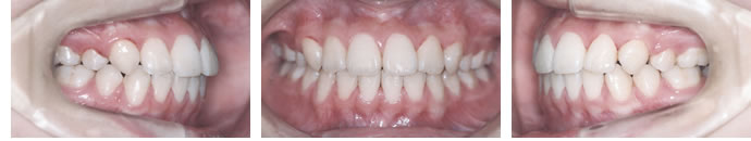
■1期治療の終了(7ヶ月後)
一回目の治療が終了しました。前歯の噛み合わせは良くなりましたが、乳歯を抜歯して前歯をひっこめたことから、さらに上顎の永久歯がはえる隙間が少なくなっています。
また、上下顎のズレについては、顕著な改善が認められませんでした。
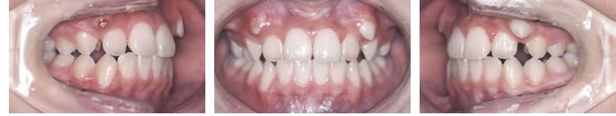
■永久歯列の完成(11歳)
1期治療終了から2年近く観察を続け、永久歯がはえそろいました。 前歯は開咬合にもどることなく、安定しています。2年間横顔のレントゲンを定期に撮影し、初診時から上下顎のズレが改善されたことを確認しましたが、それでも理想的な状態には至らず、噛み合わせにズレが認められます。上顎歯列は犬歯の生える隙間が足りません。この隙間をつくる方法としては、小臼歯を抜歯するか、前歯を前方に移動させるかのどちらかです。前歯を前方に移動する方法では、上下顎のズレがそのまま歯並びのズレにあらわれます。すなわち前歯のとびだした初診時の状態にもどることになります。
そこで、上顎左右第一小臼歯(前から四番目の歯)と下顎左右第二大臼歯(前から五番目の歯)を抜歯して治療を行うこととしました。
■2期治療(仕上げの治療)の開始(11歳)
上顎左右第一小臼歯を抜歯して、その隙間を利用して、八重歯を解消しています。
上下顎のズレを完全に改善することはできなかったので、奥歯に近い、下顎左右第二小臼歯を抜いて、その隙間に奥歯を移動させることで、噛み合わせのズレを解消します。
■動的治療の終了
7歳から来院されましたが、12歳までの間に、二回の治療をおこない、
1:大人の歯並びで、きちんとした噛み合わせときれいな歯並びを創る。
2:機能的できれいな口もとを創る。
を達成することができました。
