治療症例:JBO認定専門医が治療をおこなった症例をご紹介します。
大人の矯正 下突咬合(いわゆる下顎前突・反対咬合・受口)Case1
大人の下突咬合(反対咬合・受口)の治療症例


■症状
- 患者さん
- 38歳10ヶ月 女性
- 主訴
- 前歯の反対と八重歯を治してほしい。
- 所見
- 前歯の反対、奥歯のかみ合わせのずれ、前歯のでこぼこ、上下の前歯の真ん中のずれがあげられます。また、口を閉じていても、受け口とわかる口元です。
- 診断
- 下突咬合(いわゆる下顎前突・反対咬合・受け口)
■治療内容
上下左右、計4本の小臼歯を抜歯して、スタンダードエッジワイズによる矯正治療を行いました。
治療について
上下左右、計4本の小臼歯を抜歯して、スタンダードエッジワイズによる矯正治療を行いました。
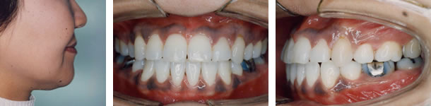
■治療前
横顔を拝見すると、はっきりと受け口が見てとれます。また上下の前歯の真ん中(左右の中切歯の間)がほぼ1歯分ずれています。
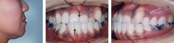
■治療後
抜歯矯正により、美しい横顔になりました。前歯の真ん中も一致し、山と谷のかみ合わせができ、隙間なくきちんと排列(はいれつ=順序良くきちんと並べること)されています。
■“後戻り”をさせないための見極め
矯正治療を受けるにあたって患者さんが心配されることのひとつに、治療後の“後戻り”があります。長い時間をかけて治療しても、いずれまた元の歯並びに戻ってしまうのであれば、治療をする意味がないのではないかというご相談をしばしば受けます。矯正をするしないにかかわらず、歯は生涯を通じて動き続けるものですから、正しく保定していても全く変化しないというわけにはいきませんが、治療前のような不正咬合に戻ってしまうことは通常ではありえません。もし戻ってしまったとしたら、開始時の治療方針や歯の排列が適切ではなかったことが考えられます。
歯は、顎の上に並んでいます。また、その周りを舌、頬や、唇に囲まれています。これらは、すべて筋肉を含んでおり、常に動いていますから、これらの筋肉の動きと協調した位置に歯を排列しないと、歯はまた動きます。無理に拡大された歯列が時間の経過と共に乱れるのはそのためです。また、抜歯治療は歯の移動量が多いため、どの歯をどこにどのような角度で位置づけるかは術者の技術や考え方が色濃く反映されます。適切に見極めるためには、十分な臨床経験が必要となります。矯正の専門医での治療を勧めるのはそのためです。
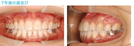
こちらの患者さんの、51歳4ヶ月の状態です。すべての治療が終了し7年経過しています。問題のない安定した状態です。このように、特別な理由がない限りは極端な後戻りを起こすことはありません。ご心配であれば、固定式のリテーナーを装着するなどの対処法もあります。治療後も定期的にメインテナンスを受け、不安があればすぐに相談するようにされると良いでしょう。
