治療症例:JBO認定専門医が治療をおこなった症例をご紹介します。
子供の矯正 叢生歯列弓 (でこぼこの歯・八重歯・乱ぐい歯)Case3
永久歯萌出期(6歳時)の来院時には治療を開始せず観察を行い、永久歯完成後に治療を開始した症例

■症状
- 患者さん
- 6歳11ヶ月 男の子
- 主訴
- 下前歯のガタガタと、上前歯の正中離開。
- 診断
- 下の前歯(永久歯)が萌出中でありガタガタになっている。
上の前歯(永久歯)が2本生えているが、隙間が空いている。
上下の歯の咬み合わせは悪くない。口元も出っぱったりはしていない。
■治療期間
観察期間:4年(装置はつけずに、年一回ほど来院)
治療期間:2年2ヶ月(装置を入れて歯を動かした期間)
■治療内容
無駄な治療をしないために、6歳の来院時から永久歯列完成の10歳11ヶ月までは何も行いませんでした。
永久歯列完成後、上下左右の4番目の抜歯をし、エッジワイズ装置を用いてガタガタをとり除き、歯並びと咬み合わせの改善をまとめて行いました。
治療について
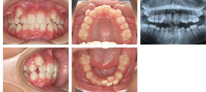
■初診来院時 (観察開始時 ・装置は入れません) 6歳11ヶ月
下の歯の1本が他の歯の後ろに隠れるほどの叢生症状と、上の前歯に隙間があることを気にして相談に見えられました。
レントゲンを撮ってみると、ほとんどの乳歯の下に「永久歯の種」と言われるものができており、これから変化していく歯並びの状態がある程度予測されますが、今の段階ではいかなる方法を用いても永久歯列完成時(12歳頃)における本格的矯正治療は避けることができないと判断しました。
よって矯正装置は何も入れずに永久歯に生えかわってしまうまで年一回程度の定期観察のみ行うこととしました。
■“無駄な治療をしない”ことの大切さ
矯正治療のゴールは永久歯列において歯並び、咬み合わせ、および口元(鼻の下からアゴにかけての軟組織)がよいかたちになっていることです。
大切なのはこのゴールまでに行くのに無駄なことはしないということです。
例えば、こちらの患者さんの初診時のように、下の前歯が4本生えはじめてガタガタになってきた時に「床矯正(しょうきょうせい)」と称して「床装置(拡大装置)」を用いて歯列を広げることが流行していますが、この患者さんには全く適しません。
無理にこのような「床矯正」を行ったとすると、咬合が不安定になり口元も出っぱって口がよく閉じられなくなるばかりか、長期間「床装置」を使用したあげくに永久歯を抜歯しての本格的治療をせざるを得なくなってしまいます。
小さい子どもの矯正治療を行うにはその子が成長したときに、どのような歯並びと骨格になるか成長予測をすることが欠かせません。ですので、矯正歯科選びは小さい子どもにおいてもとても大切だと思います。
永久歯列がきれいにならんできちんと咬むまでの予測・治療計画を説明してもらえるのが矯正歯科選びのポイントといえます。
【床装置(拡大床、拡大装置)】
床矯正(しょうきょうせい)とは、あごの裏側にネジがついたプレート状の装置(床装置)を取り付け、ねじを調節してあごを左右に広げることで歯を並べるスペースを得ようとする治療法です。
「あごの成長を利用して行う矯正治療」として、乳歯列期や永久歯への生え変わり時期(混合歯列期)にあるお子さんに勧められることがあります。(成人にも適用されることがあります)
こちらの様な装置には注意が必要です。ごく限られた症例にしか適さないものを「早く矯正治療を始めたら安価で簡単に治療できます。」と言って、将来の予測もせずに安易に使用されている例が非常に増えています。
床装置を使用する矯正治療を提案されたら、メリットだけでなくデメリットについても詳しく説明を受け、できれば何軒かの矯正専門歯科でセカンドオピニオンを受けてよく検討されることをおすすめします。
■治療開始時 10歳11ヶ月
4年の観察期間を経て、第一大臼歯までのすべての永久歯が生え揃いました。
初診時(6歳)と同じく下の前歯が重なっているだけでなく、十分なスペースを得ることができなかった上の犬歯(左右の3番)が横から萌出しており、重度の叢生症例となっています。あごを広げる床矯正を行っていたとしても、綺麗な歯列・正しい咬み合わせ・バランスが取れた口元を得ることはできなかったでしょう。
こちらの患者さんの場合は、永久歯が生え揃ったこの時期から治療を開始するのが最善と考えられます。
■装置装着 1ヶ月後
歯を並べるスペースを得るために上下左右の4番目を抜歯して、目立たない審美ブラケットを装着して治療を開始しました。
細いワイヤーを通し、まず歯の傾きやガタガタを取っていきます。
■装置装着 25ヶ月後
スペースも閉じてしまい、歯がだいたい並びました。これから咬み合わせをしっかりつくるために微調整をしています。歯の位置等をよくみて、ワイヤーに曲げを加えています。
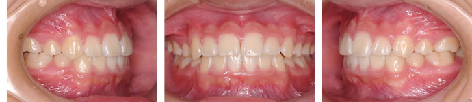
■治療後
ガタガタは改善され、理想的な歯並びと咬み合わせに仕上がっています。
無理な拡大などは一切行っていませんので、口元も出っぱりすぎることはなく調和がとれています。
動的治療期間は2年2ヶ月でした。
■治療後 13ヶ月
動的治療を終えてから1年以上経過しましたが、歯並びと咬合は安定しています。
無理のない適切な矯正治療を行えば、大きな後戻りが起こることはまずありません。
