治療症例:JBO認定専門医が治療をおこなった症例をご紹介します。
子供の矯正 下突咬合(いわゆる下顎前突・反対咬合・受け口)
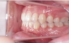
永久歯が生え揃う前の下突咬合 治療症例


■症状
- 所見
- 歯の傾きが原因の反対咬合。
- 診断
- 上顎前歯の口唇側傾斜による下突咬合(いわゆる下顎前突・反対咬合・受け口)。
■治療内容
永久歯に生え変わりはじめた時期に治療を開始し、永久歯が生え揃う時期にはきれいな歯並びになりました。 こちらの患者さんの場合は、永久歯が生え揃ってからの治療(2期治療)は必要ありませんでした。
治療について
こちらの患者さんは、歯の傾きが原因(歯性)の下突咬合(下顎前突・反対咬合・受け口)でした。
永久歯が生え揃う前の治療を1期治療と言います。骨格性(遺伝的に下の顎が大きくなる素質を持った人)の患者さんの場合は、1期治療で一度反対咬合を改善しても、思春期に身長がぐんと伸びる時期に下のあごも大きくなり、反対咬合が再発する方が少なからずいます。
そのような場合でも咬み合わせの不調和で歯がダメージを受けることを防止する目的で、また、上のあごの成長が反対咬合により止められてしまわないよう、この時期に反対咬合を改善するのが一般的です。
歯性の下突咬合(下顎前突・反対咬合・受け口)は、こちらの患者さんのように1期治療だけで永久歯が生え揃ってからの治療( 2期治療)が必要ない場合もあります。
こちらのケースでは、あごの成長が終わる17歳時にも、歯列は安定しています。
■片側のみ奥歯が反対咬合の場合
片側のみ奥歯が反対咬合の場合、下あごが横のほうへ誘導される例がまれに見られます。この状態をそのままにしておくと、あごの成長発育に悪い影響を及ぼし、顔が非対称になっていく原因となることがあるといわれています。この場合、すみやかな治療が必要となり、永久歯が生えはじめる前であっても、可能であれば 治療をおこないます。両方の奥歯が反対咬合の場合も、あごの成長に影響を与えることが多いので、早めに矯正歯科専門医にご相談になられたほうがいいと思い ます。
