治療症例:JBO認定専門医が治療をおこなった症例をご紹介します。
大人矯正 過蓋咬合(いわゆる垂直的に前歯部が深い咬み合わせ) Case1
垂直的に前歯部が深い咬み合わせを改善した症例


■症状
- 患者さん
- 18歳4ヶ月 女性
- 主訴
- 前歯部の咬み合わせが深く、上下前歯がデコボコ
- 所見
- 上あごの前歯2本が内側に倒れ、その両側の2本が外側に突出し、前歯部はデコボコ(叢生/そうせい)で垂直的に咬み合わせが深い(過蓋咬合/かがいこうごう)。
下あごの歯列はデコボコで、前歯部は垂直的上方に突出し、上あごの前歯の裏側の歯肉を咬んでいる。
横顔はうわくちびるが突出し、下あご(オトガイ)が大きく反時計方向に向いた状態である。 - 診断
- 叢生を伴った過蓋咬合
■治療期間
2年8ヶ月
■治療内容
上は左右の4番目の歯(第一小臼歯)を抜歯し、下は歯を抜かず過蓋咬合を改善しました。
治療について
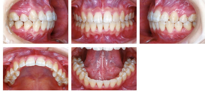
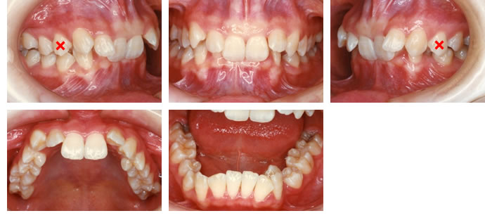
■治療前
上あごは、そのままでは歯を排列するための十分なスペースを得られないため、左右の第一小臼歯(4番/写真の×印)の抜歯が必要と判断しました。
下あごは、オトガイの改善(顔貌の改善)も考慮して、歯を抜かず歯列を広げます。
上あごは抜歯矯正、下あごは非抜歯矯正で全体のバランスを取りながら上下あご前歯部の歯列を整え、咬み合わせの深さを改善するという方針で治療を開始しました。
■治療後
歯列を整えたことで、前歯部のデコボコや垂直的な咬み合わせの深さが改善されています。
下あごは歯列を広げて整えているため、治療終了後も元のデコボコに戻らないように現在も前歯の裏側をワイヤーで固定しています。
■顔貌の変化
歯並びや咬みあわせだけではなく、下あご(オトガイ)が前方に大きく出て顔貌を損なっているのを改善する必要があります。
下あご(オトガイ)がさらに大きくならないように下の前歯を内側に入れず、下あごを時計方向(後方)に回転し改善の方針で治療を行いました。
その結果、上くちびるが後退し、下あご(オトガイ)は下方へ引き延ばされオトガイの大きさが減少して顔貌が改善されました。
